Bienvenue sur le site du cabinet du Dr Isabelle ROY, situé à Saint Genis Pouilly, commune du pays de Gex, à proximité immédiate de Thoiry, Gex, Ferney Voltaire et de Genève.
L’orthodontie préventive chez l’enfant permet de rétablir un équilibre au niveau des arcades dentaires et de favoriser une croissance faciale harmonieuse.
En savoir plus
Les appareils conventionnels, généralement connus aussi sous le nom d’appareils «multi-bagues », sont des systèmes permettant le déplacement des dents et en définitive leur parfait alignement.
En savoir plus
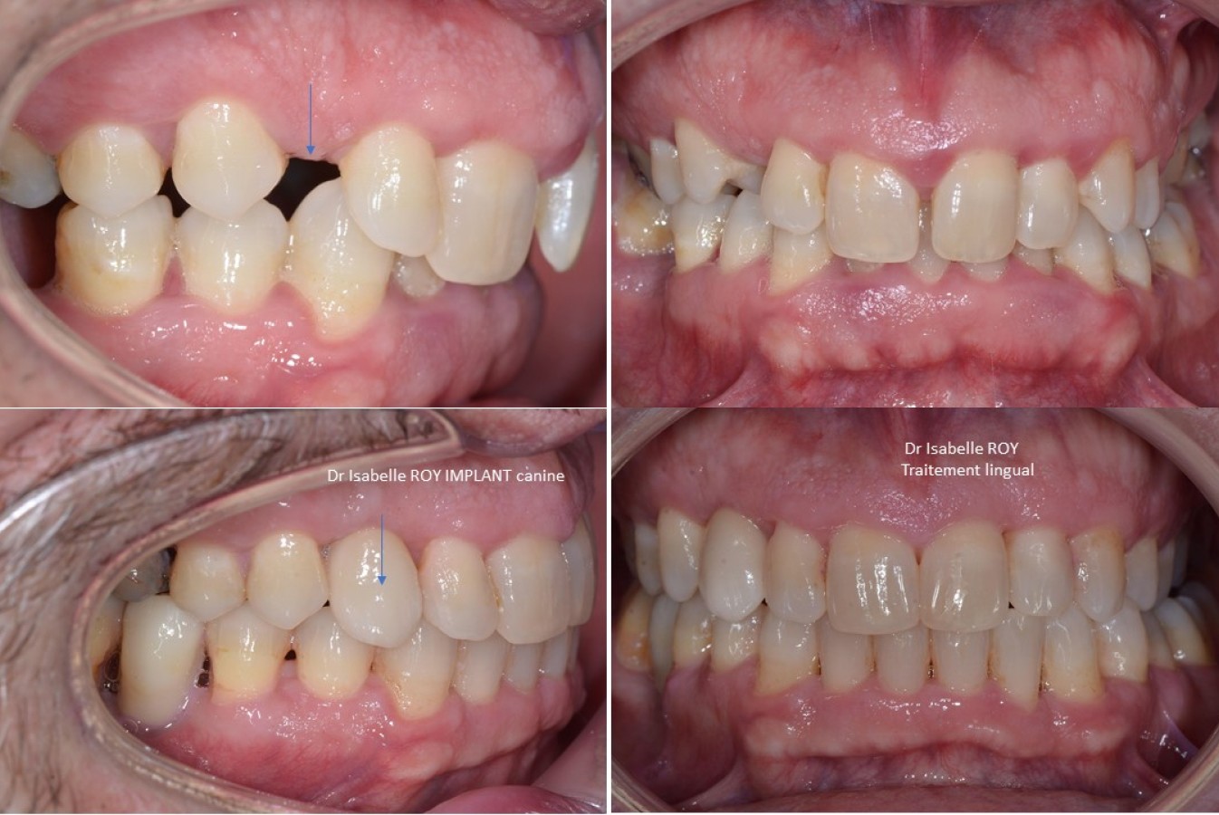
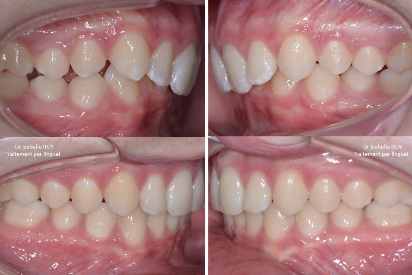
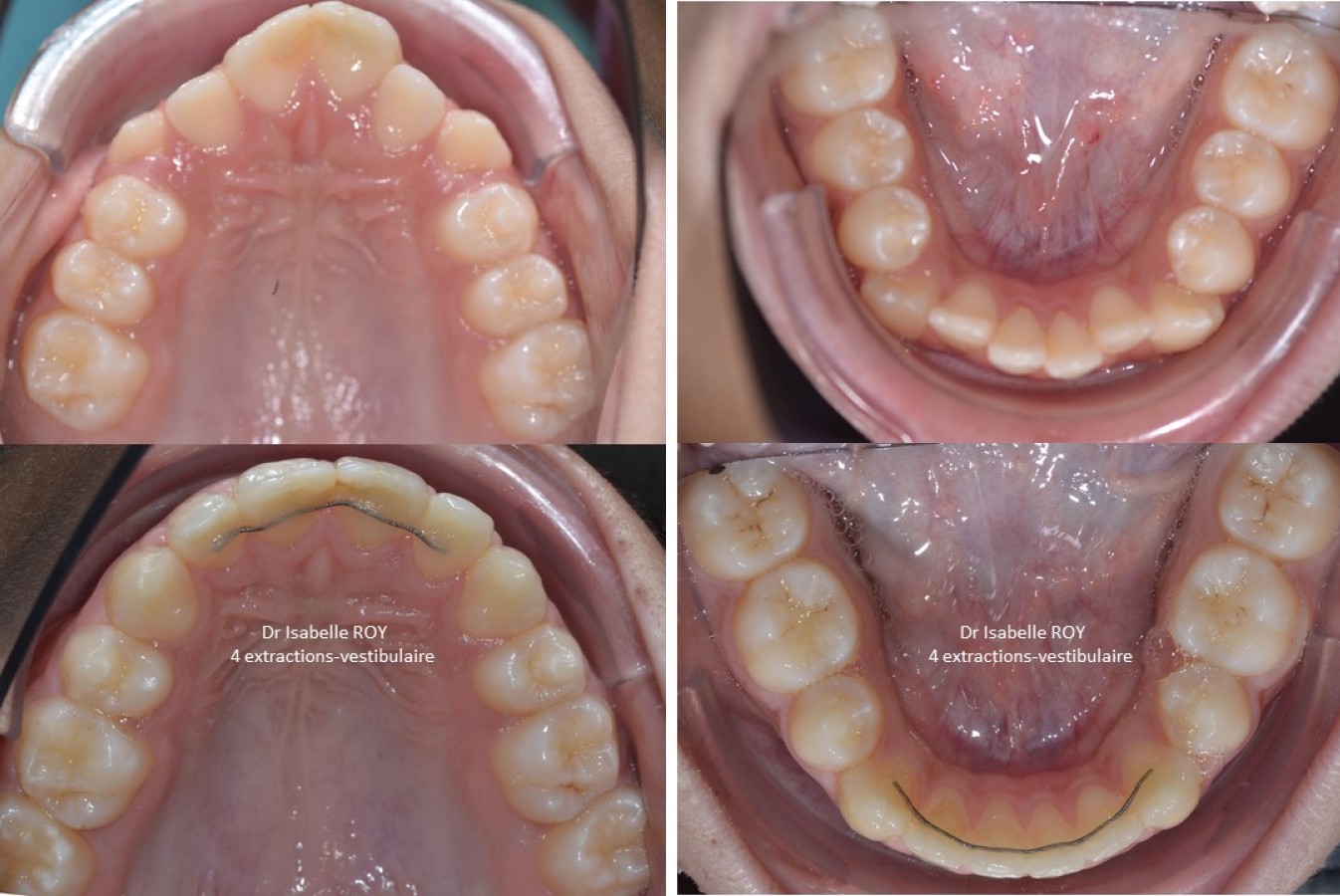
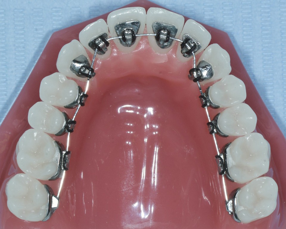
Le traitement lingual ne se voit pas, il permet aux patients de pouvoir bénéficier d’une correction orthodontique en toute discrétion et de ne pas compromettre leur sourire.
En savoir plus
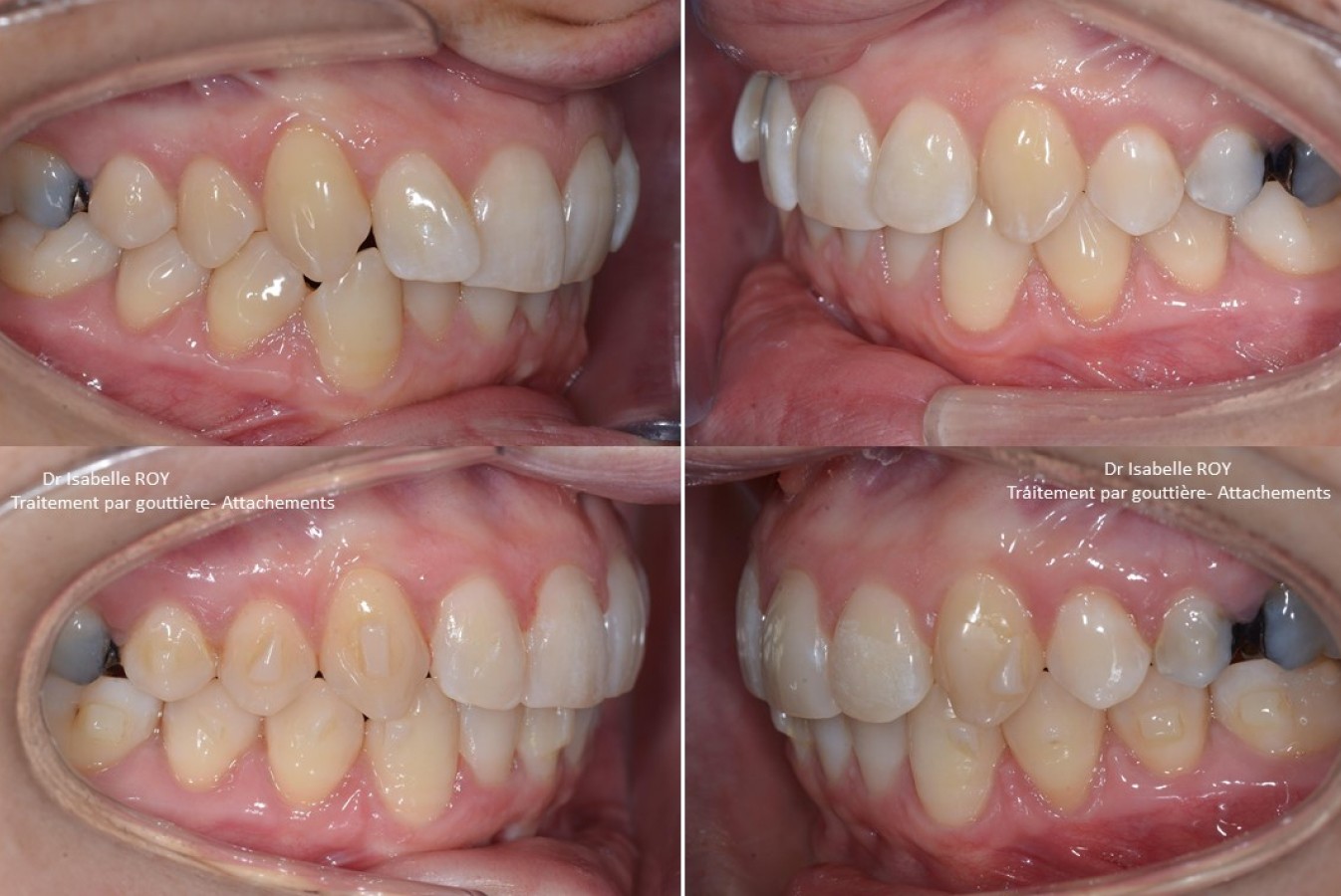
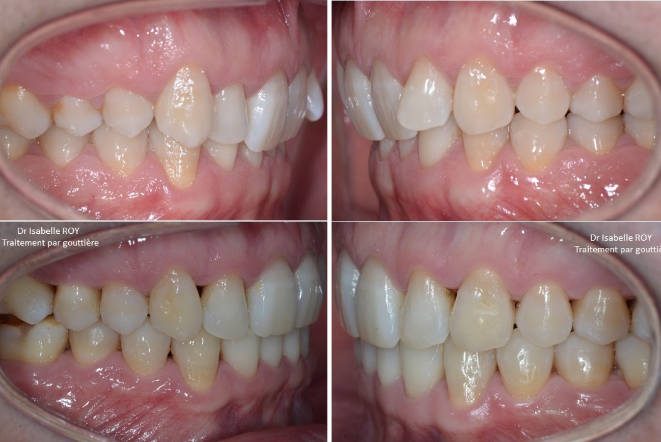
Le traitement invisible est un dispositif d’alignement sur-mesure qui permet le déplacement des dents à l’aide de gouttières transparentes que le patient porte en permanence (22h par jour), sauf pendant les repas.
En savoir plus
Le Dr Isabelle ROY est formée dans la pose d’implants d’ancrage temporaires, dispositif spécifiquement conçu pour l’orthodontie, qui consiste à poser chirurgicalement des mini vis permettant de déplacer d’une ou plusieurs dents.
En savoir plus









































